80 лет Великой Победе!
szaomos.news
ОБЩЕСТВО
ЖКХ
ПРОИСШЕСТВИЯ
ВЛАСТЬ
СТРОИТЕЛЬСТВО
ТРАНСПОРТ
КУЛЬТУРА
ЭКОНОМИКА И БИЗНЕС
ОБЩЕСТВО
Сервис Russpass подготовил тематические экскурсии к 8 Марта
8 марта 2025
Россия готова обсудить временное перемирие на Украине – СМИ
8 марта 2025
Трамп заявил о хорошем прогрессе в переговорах по украинскому урегулированию
7 марта 2025
В России могут оптимизировать получение СНИЛС иностранцами
7 марта 2025
Возможности США по введению новых санкций против РФ не исчерпаны – Белый дом
7 марта 2025
Блогер Митрошина могла уклониться от налогов на сумму 127 млн руб
7 марта 2025
Цены на шесть жизненно необходимых лекарств снижены в РФ
7 марта 2025
Медведев предостерег россиян от "коллективного расслабона"
7 марта 2025
Москвичей предупредили о сильном похолодании 17 марта
7 марта 2025
Трюдо заплакал на своей последней пресс-конференции перед отставкой
7 марта 2025
Экс-промоутер гонок Экклстоун продал 69 машин "Формулы-1" за 500 млн фунтов
7 марта 2025
Генпрокуратура России признала нежелательной деятельность латвийской НПО АРЭМ
7 марта 2025
Моргенштерн объявил о продаже своей Bentley Continental GT
7 марта 2025
Российская противогриппозная вакцина ВГИР получила статус преквалификации ВОЗ
7 марта 2025
Трамп предложил лидеру Ирана заключить сделку по ядерной программе республики
7 марта 2025
Российский посол назвал неприемлемым создание британских баз на Украине
7 марта 2025
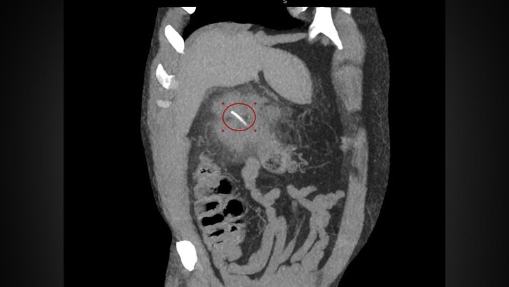
Подмосковные врачи спасли мужчину, которому рыбья кость проткнула кишечник
7 марта 2025
7 марта в Москве стало самым теплым днем с начала года
7 марта 2025
Пекин и Киев подписали протоколы о поставках украинской сельхозпродукции в Китай
7 марта 2025
Режим повышенной готовности введен в Ростовской области из-за угрозы ЧС
7 марта 2025
Мировая торговля кофе оказалась парализована из-за резкого роста цен – СМИ
7 марта 2025
Вопрос о поддержке Украины встретили на саммите ЕС гробовым молчанием – СМИ
7 марта 2025
ГК «РОЛЬФ» добавляет мототехнику в свою экосистему
7 марта 2025
Хинштейн сообщил о получении одной из высших наград Росгвардии
7 марта 2025
Польский волейбольный клуб "Сувалки" снялся с турнира в Дубае из-за россиян
7 марта 2025
Директор Сергея Бурунова опровергла новости о его налоговой задолженности в 11 млн руб
7 марта 2025
Глава Американской торговой палаты назвал Москву самым безопасным мегаполисом
7 марта 2025
Сергей Собянин: город выделил гранты в сфере лечения онкозаболеваний у детей
7 марта 2025
Фотовыставка "Женщина: путь от мечты к вершинам" открылась в Москве
7 марта 2025
В Сирии продлили на два часа комендантский час в провинции Тартус – СМИ
7 марта 2025
В Москве восстанавливается популяция редких орхидей
7 марта 2025
Каждая третья опрошенная россиянка мечтает о гардеробных в 20–30 "квадратов"
7 марта 2025
Минэнерго Украины заявило о масштабном ударе по энергетической инфраструктуре
7 марта 2025
Уникальное огромное озеро обнаружили в Долине Смерти
7 марта 2025
Врач предупредила россиян о симптомах "весенней" аллергии
7 марта 2025
Ученики поздравили директора и школу 1409 с днем рождения
7 марта 2025
МВД предупредило россиян о вредоносном ПО на YouTube-каналах
7 марта 2025
Вооруженные силы Сирии входят в Латакию и Тартус для борьбы с ополченцами – СМИ
7 марта 2025
В ЕС разработали план по защите неба Украины от российских ракет – СМИ
7 марта 2025
112
113
114
115
116